Mais que um tratamento, uma experiência exclusiva: planejamento personalizado e resultadossofisticados em total sintonia com a sua essência.
Atendimento especializado em estética dental
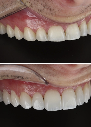
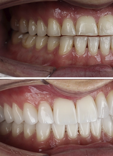
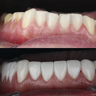
Pequenas manchas, desgastes ou dentes desalinhados podem tirar sua confiança.
Com as lentes de porcelana, você conquista um sorriso harmônico, natural e do jeito que sempre quis.
As Lentes ou Facetas são pequenas lâminas de porcelana que são sobrepostas aos dentes, permitindo ajustar o formato do sorriso, tamanho e coloração dos dentes, além de resolver diversos problemas odontológicos como desgastes causados pelo bruxismo.
• Alta durabilidade: média de 15 anos.
• Incrível transformação estética: remoção completa de manchas com o tom de branco que você escolher.
• Aspecto natural: dentes brancos e harmônicos, de acordo com seu tom de pele e formato de rosto.
• Praticidade: poucas consultas para uma transformação do seu sorriso.
Transformar o sorriso com lentes de porcelana é um processo planejado com precisão:
Tudo começa com escaneamento 3D e uma consulta detalhada, onde entendemos seus desejos e analisamos sua saúde bucal.
Com tecnologia de ponta, projetamos digitalmente seu novo sorriso. Assim, você visualiza o resultado antes mesmo de iniciar.
Você experimenta uma prévia em resina, para sentir na prática como ficará seu novo sorriso.
Com técnica precisa e preservando ao máximo o dente natural, as lentes são aplicadas, revelando um sorriso personalizado e natural.
Na Odontaly, não entregamos apenas lentes. Entregamos a versão mais confiante de você.
As lentes de contato são extremamente finas (geralmente entre 0,2 mm e 0,5 mm), e em muitos casos não é necessário desgastar o dente ou o desgaste é mínimo e restrito ao esmalte. Isso ocorre quando:
• O dente já tem uma boa posição;
• Não há necessidade de grandes correções de cor ou formato;
• O paciente não tem dentes muito projetados.
As lentes de contato dental em porcelana (ou facetas laminadas) são conhecidas por sua alta durabilidade, tanto estética quanto funcional. Tem uma duração de 20 anos ou mais.
O investimento no tratamento de transformação do sorriso é personalizado e depende das necessidades individuais de cada paciente, sendo apresentado após uma avaliação completa.
A escolha da cor é totalmente personalizada e leva em consideração fatores como tom de pele, cor dos dentes naturais, idade do paciente e o resultado estético desejado. Durante o planejamento, são utilizadas escalas de cor profissionais e, em alguns casos, testes em boca (mockups) para garantir que o novo sorriso fique harmônico, natural e alinhado às expectativas do paciente.
Nosso objetivo é entregar um sorriso bonito, elegante e que combine com você.
A principal diferença está na espessura da lâmina de porcelana. As lentes de contato variam de 0,3 a 0,6 mm, enquanto as facetas podem ter até 1 mm de espessura. A escolha depende das necessidades individuais de cada dente em termos de forma e cor desejadas.
Indicadas para quem busca um sorriso mais harmônico, corrigindo cor, formato, tamanho ou espaços entre os dentes. Também podem fazer parte de uma reabilitação oral estética, devolvendo função e beleza a sorrisos desgastados ou envelhecidos.
Sim. As lentes são feitas sob medida, considerando formato, cor, tamanho e detalhes que valorizam o rosto de cada paciente. O planejamento é feito em conjunto para alcançar um resultado personalizado e natural, respeitando a harmonia do sorriso e as características individuais
A decisão de tratar um, um conjunto ou todos os dentes depende exclusivamente do caso individual e das metas estéticas. Cada situação é única.
Na maioria dos casos, não é necessário utilizar anestesia, uma vez que o desgaste é controlado e planejado para minimizar o desconforto.
Sim, é possível realizar o tratamento com lentes de contato para proteger e reparar o desgaste existente. No entanto, pode ser necessário algum tratamento prévio e a adoção de cuidados específicos.
Rua Marechal Borman, 438D
Centro – Chapecó – SC
CEP: 89801-050
Horário de Atendimento
Segunda a sexta: 08h às 18h
Sábado: 08h às 12h
Política de Privacidade | Cookies
Necessary cookies are absolutely essential for the website to function properly. These cookies ensure basic functionalities and security features of the website, anonymously.
| Cookie | Duração | Descrição |
|---|---|---|
| cookielawinfo-checbox-analytics | 11 months | This cookie is set by GDPR Cookie Consent plugin. The cookie is used to store the user consent for the cookies in the category "Analytics". |
| cookielawinfo-checbox-functional | 11 months | The cookie is set by GDPR cookie consent to record the user consent for the cookies in the category "Functional". |
| cookielawinfo-checbox-others | 11 months | This cookie is set by GDPR Cookie Consent plugin. The cookie is used to store the user consent for the cookies in the category "Other. |
| cookielawinfo-checkbox-necessary | 11 months | This cookie is set by GDPR Cookie Consent plugin. The cookies is used to store the user consent for the cookies in the category "Necessary". |
| cookielawinfo-checkbox-performance | 11 months | This cookie is set by GDPR Cookie Consent plugin. The cookie is used to store the user consent for the cookies in the category "Performance". |
| viewed_cookie_policy | 11 months | The cookie is set by the GDPR Cookie Consent plugin and is used to store whether or not user has consented to the use of cookies. It does not store any personal data. |
Functional cookies help to perform certain functionalities like sharing the content of the website on social media platforms, collect feedbacks, and other third-party features.
Performance cookies are used to understand and analyze the key performance indexes of the website which helps in delivering a better user experience for the visitors.
Analytical cookies are used to understand how visitors interact with the website. These cookies help provide information on metrics the number of visitors, bounce rate, traffic source, etc.
Advertisement cookies are used to provide visitors with relevant ads and marketing campaigns. These cookies track visitors across websites and collect information to provide customized ads.
Other uncategorized cookies are those that are being analyzed and have not been classified into a category as yet.