Uma dúvida muito comum entre as pessoas que estão em busca de melhorar a estética dos dentes é se precisa fazer desgaste dos dentes para colocar Lentes de Contato Dental em Porcelana. A resposta é que depende da avaliação de cada caso, e a recomendação para seu caso será feita na consulta de avaliação inicial.
É importante salientar que em determinados casos, alguns dentes precisam sofrer algum preparo para remoção de cáries ou restaurações previamente existentes. Outros casos, podem necessitar de um discreto nivelamento e ajuste para o encaixe preciso das lentes de contato. Enquanto que há casos, que este preparo não é necessário e também casos onde o desgaste é mais acentuado como nos casos de dente com escurecimento por exemplo. Seja como for, os dentes devem estar saudáveis para receber o tratamento. Mas fique tranquilo, caso seja necessário o desgaste dos dentes para Lentes de Contato Dental, ele será mínimo e preciso pois trabalhamos com uma técnica guiada onde o desgaste é pontual e apenas nos locais necessários. E tenha em mente que, se precisar de muito desgaste, o tratamento com lente de contato não tem indicação mas tudo isso é definido com um planejamento detalhado de cada caso.
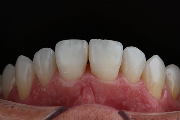
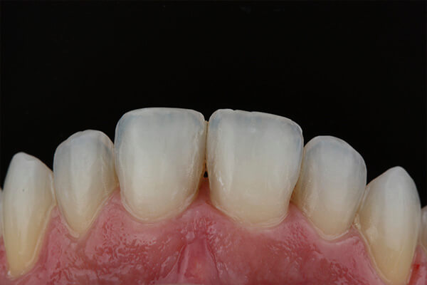
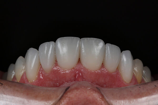
Estas imagens abaixo, ilustram um caso de Lentes de Contato Dental com os dentes já preparados, ou seja, com mínimos desgastes.



TRANSFORME SEU SORRISO COM LENTES DE CONTATO DENTAL!
As lentes de contato dental são peças de porcelana extremamente finas, podendo ser comparadas com as lentes de contato oculares, por isso a semelhança na nomenclatura. Elas podem ter a espessura de 0,2 mm e quanto mais finas mais natural será o resultado do seu tratamento.
Elas são indicadas para corrigir problemas estéticos dos dentes como excesso de manchas, irregularidades no volume ou tamanho dos dentes, alteração suave de cor, pequenos desalinhamentos e finalização de tratamento ortodônticos para estabilização da mordida. As lentes de contato dental são capazes de transformar o seu sorriso em um curto intervalo de tempo!
Na consulta inicial de avaliação, todas as etapas do tratamento são explicadas após um detalhado exame clínico e escaneamento intra oral para planejamento e apresentação do tratamento ao paciente. Caso seja necessário pequenos ajustes ou desgastes, estão são mínimos pois realizamos preparos guiados com auxílio de lupa e somente a região para o encaixe da peça recebe esse desgaste além disso, esses desgastes ocorrem apenas na parte externa do dente, preservando ao máximo o esmalte dental que é o responsável pela durabilidade do tratamento com Lente de Contato Dental.
Vamos transformar o seu sorriso com Lentes de Contato Dental?
Entre em contato e agende sua avaliação, será um prazer te atender!


