O uso prolongado da chupeta e da mamadeira se difundiu amplamente na sociedade moderna e embora tenham uma grande aceitação devem ser usadas com moderação e bom senso, para não prejudicar a saúde bucal das crianças. Elas acabaram trazendo consigo conveniência e comodidade, facilitando e simplificando a tarefa dos pais ou cuidadores em acalmar o bebê.
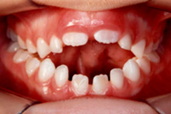
Muitos estudos comprovam que tanto a chupeta quanto a mamadeira possuem malefícios e podem interferir no desenvolvimento correto da criança, levando a alterações no posicionamento dos dentes, desvio do crescimento dos ossos da maxila e mandíbula (mordida aberta, mordida cruzada, inclinação e giroversão de dentes, diastemas, alterações na fonação, na deglutição e na respiração).


Além destas alterações citadas acima, o uso prolongado de chupetas e mamadeiras pode ter vários riscos para as crianças, incluindo:
- Alterações orofaciais, como alterações na posição dos dentes, problemas na fala, respiração pela boca e disfunções da língua
- Má formação óssea, que pode prejudicar o desenvolvimento facial
- Prejuízo no desenvolvimento do sistema estomatognático, que pode alterar a postura e a tonicidade dos músculos
- Deformações esqueléticas na boca e na face
- Otite média aguda, devido ao acúmulo de líquido nos ouvidos
- Contaminação e doenças, pois as chupetas e mamadeiras podem ser reservatórios de infecção
Quanto mais cedo ocorrer a remoção da chupeta e da mamadeira, maiores as chances dessas alterações regredirem naturalmente, de preferência antes dos 4 anos de idade.
Quando a mãe por algum motivo não tiver como amamentar, recomenda-se utilizar um bico fisiológico ou ortodôntico, porque ele tem uma face achatada que acomoda melhor a língua da criança, além de o furo estar voltado à região superior da cavidade oral. Desta forma ele acaba sendo menos prejudicial quando comparado a outros bicos.
Em muitos casos o uso da chupeta pode prevenir a sucção do dedo, porém deve ser usada com moderação, quando os pais optarem pelo uso da chupeta, ele deverá ser mínimo. Ela não deve ficar à vista, nem à disposição da criança, são os pais que devem administrar as horas de uso da chupeta, delimitando de preferência seu uso apenas para a hora de dormir e tomando o cuidado para que seja retirada após a criança pegar no sono.
Quanto ao uso da mamadeira, quando noturna sem a posterior escovação dental poderá provocar cáries. Essas lesões evoluem rapidamente de manchas brancas para cavidades, até destruírem totalmente os dentes de leite. Por isso se faz necessária uma boa higienização dental logo após a criança tomar a mamadeira, mesmo que ela esteja com muito sono ou sem interesse algum.
Por volta dos dois anos de idade, a criança já apresenta vários dentes, sendo prejudicial para acomodação da língua no espaço bucal, a colocação entre as arcadas dentárias superior e inferior outro material, seja o dedo, a chupeta, a mamadeira ou qualquer outro objeto prejudicam as arcadas.
Desta forma, por volta dos três anos idade se faz necessário o início da negociação para a eliminação da chupeta. Algumas crianças têm necessidade de um elemento de transição, sugere-se um brinquedo macio e aconchegante que ela tenha afeto e que lhe faça companhia durante o sono, além de muito diálogo e explicações para a criança sobre o porquê da retirada da chupeta, sendo muitas vezes válida a tentativa da troca. Por exemplo: a criança entrega a chupeta ao Papai Noel e recebe um presente por essa troca.
Com relação à mamadeira a retirada deve ser semelhante a da chupeta. Indica-se ir diminuindo o número de mamadas por dia e quem sabe até diminuir a concentração de leite em relação à água no preparo da mesma para que seu gosto passe a ser menos interessante e saboroso para a criança.
Enfim, a decisão de introduzir ou não chupeta e a mamadeira é da família. Mas cabe aos profissionais oferecerem aos pais subsídios para que tomem uma decisão consciente e informada a esse respeito. O que não se pode esquecer é quanto mais precoce for a retirada, menores serão os danos causados pelo seu uso. E que em muitos casos, quando a idade da criança já é avançada, para que essa remoção seja efetiva é necessário um trabalho multidisciplinar (dentista, fonoaudiólogo e psicólogo). Mas não se pode esquecer que o principal suporte de carinho, compreensão e atenção que a criança irá precisar são os seus pais ou cuidadores, esses terão que ter a calma e a paciência necessária para manter um diálogo diário com seus filhos e desta forma suprirem a falta da chupeta e da mamadeira em seu dia a dia.
Se você está passando por uma experiência semelhante, entre em contato e agende uma consulta para que nossa equipe de profissionais possa te auxiliar na melhor conduta!


